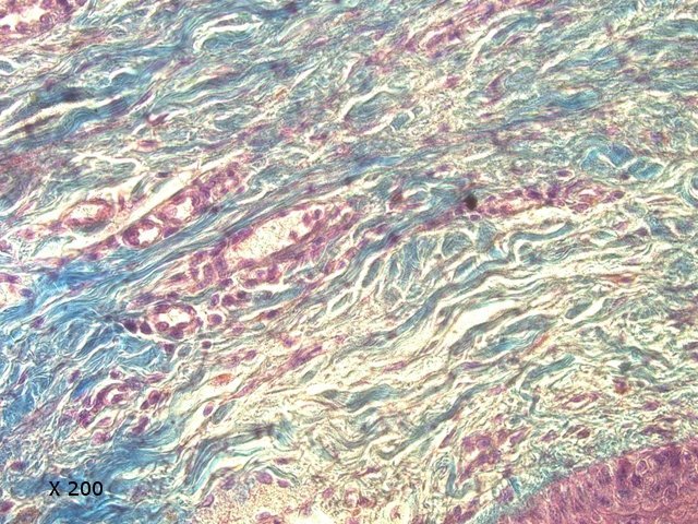
Dominique. Posté(e) le 28 décembre 2025 Signaler Posté(e) le 28 décembre 2025 (modifié) Molluscum pendulum Acrochordon Sur le bras d’un de mes enfants est apparu en quelques semaines une formation rose tendre et molle - Cette formation est reliée à la peau par un petit pédicule Il est facile de l’enlever avec un petit ciseau qui coupe bien ( il n’y a qu’ un petit saignement bénin et très transitoire après l’ ablation qui ,elle, est indolore ). Tumeur bénigne de la peau un moluscum pendulum (ou acrochordon, ou encore fibrome mou) est une petite excroissance cutanée bénigne, souvent pédiculée. Aspect de cette formation après le protocole de préparation classique (fixation dans AFA 3 jours – déshydratation progressive 30° 50° 70 100° alcool éthylique ½ journée par bain ensuite - 2 fois ½ journée dans butanol 100° - et bain de 3 jours dans Paraffine à 56 ° - Montage et coupe au microtome de 7 µm d’ épaisseur - Coloration Hématoxyline - Eosine - Aniline -Montage Euparal Panorama de 20 images au X 80: A – zone du pédicule sectionné À l’examen microscopique, on observe : Couche épidermique 1 – Stratum basal 2 –Stratum spinosum 3- Stratum granulosum 4 – Startum corneum qui est fait de cellules mortes .Cette couche de l’ épiderme et hyperkératosique, parfois avec une discrète acanthose (épaississement de l’épiderme). Autre aspect 1 – Stratum basal 2 –Stratum spinosum 3- Stratum granulosum 4 – Stratum corneum qui est fait de cellules mortes cette couche de l’ épiderme est légèrement hyperkératosique, parfois avec une discrète acanthose (épaississement de l’épiderme). ( Il existe une autre couche le Stratum licidum qui ici n’ est pas présente ). L épaisseur de l’ épiderme du molluscum pendulum n’ est pas constant il existe des zones plus epaisses. Sous l’ épiderme il existe pour la peau deux couches supplémentaires le derme et l’hypoderme. Dans le cas présent ces deux couches profondes ne sont pas identifiables Il existe un stroma conjonctif lâche, peu vasculaire, composé de fibres de collagène et de fibroblastes, formant le pédicule et le corps de la lésion. L’absence de composante inflammatoire ou de cellules atypiques, confirmant le caractère bénin de la lésion. Cette structure explique la texture molle et pédiculée du molluscum pendulum, qui se distingue ainsi des autres lésions cutanées comme les kératoses séborrhéiques ou les naevus naevo-cellulaires Vascularisation du moluscum pendulum : Faible vascularisation : Les acrochordons sont généralement peu vascularisés. Leurs vaisseaux sanguins sont fins et peu nombreux, souvent limités à la base du pédicule. On observe parfois de petits capillaires ou des boucles vasculaires dans le tissu conjonctif lâche du cœur fibreux. 2.Commentaire histologique : Épidermotropisme : recouvert d’un épiderme normal ou légèrement hyperkératosique. Stroma : Tissu conjonctif lâche, œdémateux, riche en mucine (d’où l’aspect « mou »). Fibres de collagène fines et peu denses. Vaisseaux sanguins dilatés et parfois congestifs. Cellules : fibroblastes dispersés, parfois quelques cellules inflammatoires (lymphocytes, mastocytes). Absence d’atypies cellulaires et de mitoses pathologiques. 3. Particularités Pas de capsule : le stroma se fond progressivement avec le derme sous-jacent. Pas de follicule pileux ni de glande sudoripare dans la lésion (contrairement à un polype sébacé ou un naevus). Parfois des cellules adipeuses si la lésion est volumineuse. 4. Diagnostic différentiel histologique Nævus intradermique (présence de mélanocytes). Polype sébacé (présence de glandes sébacées). Fibrome dur (stroma fibreux dense, peu de mucine). En résumé : le moluscum pendulum est une lésion bénigne, composée d’un épiderme normal et d’un stroma conjonctif lâche, riche en mucine et en vaisseaux, sans atypie cellulaire. Référence Précis d’ histologie Ulrich Welsh editeur Lavoisier Dominique Modifié le 28 décembre 2025 par Dominique.
Jean-Luc Bethmont (Picroformol) Posté(e) le 29 décembre 2025 Signaler Posté(e) le 29 décembre 2025 Bonjour Dominique, Superbes images ! Connaît-on l' origine de ces formations car si j'ai bien compris les cellules qui les constituent sont normales.Comment l' organisation du tissu est-elle modifiée ? Cordialement, JL
Dominique. Posté(e) le 29 décembre 2025 Auteur Signaler Posté(e) le 29 décembre 2025 Bonsoir Jean-Luc Si pour les tumeurs malignes et bénignes certaines causes sont connues .en particulier l' action des virus pour beaucoup les raisons restent mystérieuses - C'est le cas du Papilloma virus qui est à l origine des cancers du col d' l' uterus et pour les hommes du sillon préputial ( ce que l' on peut prévenir maintenant par la vaccination ) Les molluscums pendulums ne sont pas liés non plus à une altération des chromosomes ou à une mutation génétique au sens d’un trouble chromosomique (comme une trisomie ou une translocation). Ils sont considérés comme des lésions cutanées bénignes, sans lien avec des anomalies génétiques structurelles ni virale comme le molluscum contagiosum - Il semble exister des facteurs locaux favorisants comme le frottement - Je te souhaite une bonne année 2026 A bientôt Amicalement Dominique
Jean-Luc Bethmont (Picroformol) Posté(e) le 30 décembre 2025 Signaler Posté(e) le 30 décembre 2025 Bonsoir Dominique, Merci pour tes éclaircissements. Bonne année et bonne santé également pour 2026, Amicalement, JL
Admin Tryphon T Posté(e) le 30 janvier Admin Signaler Posté(e) le 30 janvier Bonjour Dominique, Un article du plus vif intérêt sur lequel je reviendrais. Amicalement.
Messages recommandés