Mikroscopia
Logo de Mikroscopia
Aller au contenu
Mikroscopia

Messages recommandés

Posté(e) (modifié)

Branchies Mollusque Praire

 

 

Etude  du système  branchial  déjà réalisé :chez un autre mollusque l’ huitre

 https://forum.MikrOscOpia.com/topic/19189-huitre-anatomie-branchies/  ( très proche dans  son organisation des  branchies de la praire

Organisation des  branchies  chez la praire :

 

 

prairetexte1(2).jpg.2b1c12a0118ffc12843afb7f1bf56582.jpg

 

 

Aprés l’ouverture:

 

prairetexte2.jpg.80e9a39886983c351faf109a8d236bf8.jpg

A le manteau   qui   est adhérent  à la face interne de la coquille .La face externe du manteau est à l’origine  de la  synthése  de la coquille

B position des branchies le long  du corps  - il  existe  un systéme  branchial de  chaque  côté 

C Pied  qui permet  le creusement  dans le sable

D ;Corps de la  praire

 

prairetexte3.jpg.85821497734063db3e3faa15fdbac44e.jpg

En regardant  la branchie  on constate qu’elle  est  formée de  deux lamelles – - la lamelle externe est plus petite :

prairetexte4.jpg.63a556be2381a93f256b01462c0c2181.jpg

Les  deux lamelles   sur cette photo  sont écartées

A lamelle  externe

B lamelle interne  le long du corps  du mollusque

C axe de fixation   sur le corps  de la praire

 

prairetexte5.jpg.e41219fc0e45c38958e2f000d7ef318f.jpg

La fixation  des branchies  se fait  sur  une ligne située sur la zone  la plus interne   - prés de la charnière de la coquille.

 

prairetexte7.jpg.f139e65f0bc08ba6b0a8ab09998aff3b.jpg

 

Cette photo   regarde la lamelle   sur sa face en  contact avec l’ eau de mer. 

A  Axe d’union des lamelles interne  et externe   sur la ligne   où elles se soudent avec le corps  de la praire  Les filaments  constitutifs sont dans  un seul sens , de la  périphérie vers l’ axe  ( on parle de filaments mono pectinées).

B La face  exposée  à  l’ eau de mer  est  un tissu fait de bandes cellulaires  unies les unes  aux autres orientées   de l’ extrémité de la lamelle  flottant dans l eau  vers sa zone de fixation  sur le corps.

 

prairetexte8.jpg.e272705d591bacdb815aef4ec57c0697.jpg

 

Les cellules  disposées  en lignes allant de la périphérie  vers la zone de fixation  sur le corps de la praire .

Coupe  faite  perpendiculairement   à  l’ image précédente .

 

prairetexte9.jpg.2e0cd756b83bcb54c0fe9938bb328c6f.jpg

 

Cette photo   de la coupe  d’une seule lamelle  n’ est  pas  très bien réussie   puisque   lors de la préparation  elle  s’ est légèrement   froissée .

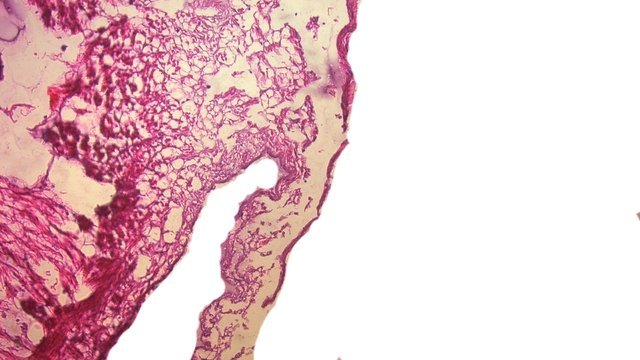
Schéma  de l’organisation de la lamelle .

 

prairetexte10.jpg.02226ee175c03458eb422f5b7d66bee0.jpg

 

A  Couche de cellules bordantes   - Ces cellules  ont comme caractéristique  d’ avoir  développé    à chacune  une importante  villosité   . Ce qui  autorise   une nette  augmentation de la  surface  d’échange  gazeux   entre l’eau de mer  et l’ hémolymphe.

B Canal  d  écoulement   de l’ hemolymphe.

Chaque lamelle  a  une épaisseur autour de 250 µm.

En  fonction   de la localisation les digitations   des  cellules     ont une taille variable ;Elles  sont  plus longues  prés de leur insertion  sur le corps de la praire .

prairetexte11.jpg.945c70246cf5ee603f58136bbe01aa36.jpg

prairetexte12.jpg.4e208ea5f0eead0c58da241726460add.jpg

Une coupe macroscopique   sur la tranche  du corps :

prairetexte13.jpg.1bb91819aff4370e436d2c4cc3c9f590.jpg

 

 

Coupe au niveau A

 

 

prairetexte14.jpg.4530c7b60577d5ed9bdcde541e37e02e.jpg

 

Le branchement  sur le corps de la praire des lamelles des branchies  se fait directement  - Il y a  donc  un  écoulement  direct    de l’ hémolymphe branchial  vers l’ hémolymphe  du cœlome .

On aurait pu s’ attendre  à une  circulation afférente / éfferente  ce qui   ne semble pas être le cas.

Pourtant  il existe  de nombreux vaisseaux qui  courent  dans la masse  parenchymateuse  du corps.

 

prairetexte15.jpg.3d84d9579ad112d8783d7a682100a0b2.jpg

 

Ces vaisseaux  indiqués  posent  la question de leur nature  - veines ? artéres ? La circulation   est reconnue  de type ouverte  c’ est à dire  sans capillaire  mais avec  des artéres et des sinus veineux  qui s’ ouvrent directement  dans l’espace du coelome qui contient  l’ hemolymphe.

Quel  est le moteur  du mouvement  de l’hemolymphe .Comme  chez le  crabe il s’ agit de l’ action du cœur  et de l’ énorme masse musculaire  du pied .Comme  chez le crabe il s’ agit d’un système ouvert    - Le cœur reparti l’ hemolymphe  vers les organes  périphériques      .Ce sang est récupéré par  des sinus veineux  qui reconduisent le sang  vers la cavité péricardique puis vers le  cœur  ( voir article  sur les branchies  du  crabe)

 

 

Dominique

 

Modifié par Dominique.
×
×
  • Créer...